Peninsula Dental
Porcelain Veneers
A healthy, beautiful smile starts here

Porcelain Veneers | Dentist
Improve your smile today – call to schedule a consultation!
Book Here

Porcelain Veneers

Any surgical or invasive procedure carries risks. Before proceeding, we recommend seeking a second opinion from an appropriately qualified health practitioner.

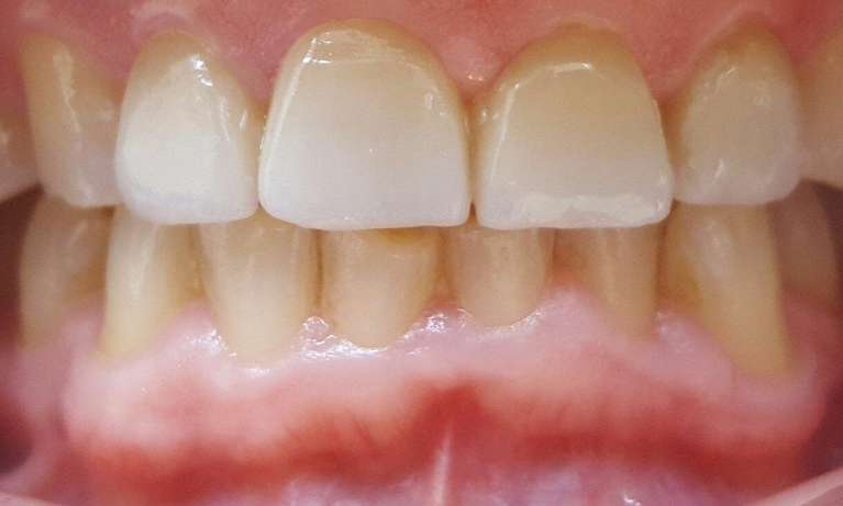
Transform Your Smile with Porcelain Veneers

Porcelain veneers offer a durable, natural-looking solution to enhance your smile with minimal preparation. Typically completed in just two to three visits, porcelain veneers may be the ideal choice if you're looking to improve your smile's appearance.

Why Choose Porcelain Veneers?

Porcelain closely resembles natural tooth enamel, providing strength and a translucent appearance. They efficiently address multiple aesthetic concerns in one treatment, boasting a smooth, stain-resistant finish.

 

 

Enhanced Aesthetics

Porcelain veneers are designed to improve the appearance of teeth by covering up imperfections such as stains, discolouration, chips, or gaps. They can give patients a brighter, more symmetrical smile that boosts confidence.

Durability and Strength

Porcelain veneers are highly durable and resistant to stains from coffee, tea, or smoking, making them a long-lasting solution for cosmetic dental enhancements. With proper care, they can maintain their appearance and functionality for many years.

Minimally Invasive Procedure

Compared to other dental treatments like crowns, porcelain veneers are less invasive. They require minimal enamel removal, preserving more of the natural tooth structure. This makes the process more comfortable for patients while still achieving significant cosmetic improvements.

Common Problems Porcelain Veneers Can Address

Porcelain veneers are highly versatile, capable of:

  • Reshaping uneven teeth
  • Covering chips and cracks
  • Closing gaps between teeth
  • Correcting minor misalignments

Sam B

“Have had the misfortune of seeing many dentists, and Peninsula has to be one of, if not the best practice I've dealt with. Dr Mostafa is outstanding at what he does. Would highly recommend.”

Frequently Asked Questions

Any surgical or invasive procedure carries risks. Before proceeding, you should seek a second opinion from an appropriately qualified health practitioner.

Porcelain veneers are considered to be a permanent restoration since they are bonded to the surface of your teeth. They are made of porcelain, a very strong material, so it is rare for them to chip or fall off. In the unlikely event that this does happen, however, the veneer can be repaired or replaced and bonded back into place.

Application Process

Before starting treatment, a thorough dental exam ensures your oral health supports veneers. We begin by gently preparing your teeth and taking x-rays and impressions to customise your veneers' shade and fit. Crafted at a dental lab, your veneers are precisely tailored to your specifications.

Upon completion, we bond the veneers to your teeth's front surface, ensuring a comfortable fit and natural appearance. Regular dental visits and proper care help maintain your beautiful smile for years to come.

Meet Our Doctor:

Dr Mwaffak Rabih DDS
Dentist

Dr. Mwaffak Rabih has been caring for smiles in Wellington since 2001. He graduated in 1991 and made the move to New Zealand in 1999, later completing the NZDREX program at the University of Otago. He's a proud member of the New Zealand Dental Association (NZDA) and is also registered to practice in Australia (AHPRA). In 2003, he took a big step and founded Peninsula Dental Centre from the ground up.

Passionate about helping people feel confident in their smiles, Dr. Rabih enjoys all aspects of dentistry, from Restorative ...

Getting an appointment is fast and easy!
Book Online
Any surgical or invasive procedure carries risks. Before proceeding, you should seek a second opinion from an appropriately qualified health practitioner.
Privacy Policy